闪亮洁白的笑容,绽放自信光彩、拉近你我的距离、提升个人形象。生活中总有人因色素牙,笑不露齿、遮遮掩掩,都说爱笑的人运气不会太差,一口白牙更能为你增添自信与魅力。
  • 黄牙治疗前后

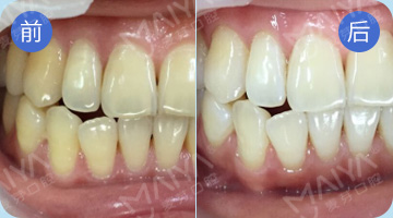
  • 黑牙治疗前后

  • 烟斑牙治疗前后

  • 增龄性黄牙治疗前后

  • 增龄性黄牙治疗前后

  • 轻度氟斑牙前后

皓齿美白由美国皓齿口腔科技公司研发,其专利美白剂弥补了传统美白方式的不足,1小时即可轻松绽放自信、亮白的笑容~在美国,有超过100万人用它美白牙齿,被称为理想的午休美齿项目!
对比项目 麦芽皓齿美白 传统光照蓝光美白
适应症状 更广泛的适应症,匹配不同浓度药剂,
从而解决内外源性色素牙。
仅一般黄牙,牙色异常。
美白效果 健康白,洁白,富光泽、有透明感。 如粉笔般钙化白,一般光泽。
保护系统 专利PF配方增强牙釉质,从而降低牙敏感,预防龋齿。 没有专利护龈剂,酸疼感较强烈。
牙体损伤 不需要蓝光照射,不造成损伤。 传统蓝光照射,降低16%的牙髓活力。
酸痛不适 20%含水量,一天后基本无不适感。 蓝光使牙齿脱水,酸疼期较长,约3~5天。
维持时间 3-5年,甚至达8年以上。
PF配方可以防止脱水和牙齿再次着色。
1~2年左右。
芽口腔引进的皓齿美白技术,创新“过氧化氢+硝酸钾+氟化物”三者结合的美白剂,有别传统冷光美白,充分克服了传统冷光美白时牙齿酸痛、美白后牙龈过敏不适的现象。
  • 1小时即刻亮白
    浓度为40%的过氧化氢快速置换色素因子,1小时焕然新生。
  • 注入抗敏因子
    硝酸钾同步生效,避免氧化还原反应刺激造成牙齿酸痛。
  • 锁色固色持久白
    氟化物促进牙釉质重新生成,隔绝色素,3~5年持久亮白。
  • 防龋同时固齿
    美白同时穿上“防龋衣”,氟化物有效避免蛀牙。
在麦芽口腔,由美国皓齿美白专利认证的资深专家亲自操作,40~60分钟低敏美白,午休时间悄然变美。
  • 口腔检查
    判断能否行皓齿美白
  • 牙齿清洗吹干
    方便美白剂快速渗透生效
  • VITA比色拍照
    专业比色留作对比
  • 涂护龈保护剂
    保护牙龈避免过敏受伤
  • 涂抹美白剂
    依症状轻重最多重复3次
  • 再次清洁牙面
    吸走美白剂完成皓齿美白
  • 再次拍照比色
    对比术前提升至少3个色阶
  • 谨遵医嘱美白完成
    谨遵医嘱1天后无不适感

Q:皓齿美白贵不贵?

A:皓齿不用蓝光照射所以不伤牙体,拥有专利美白剂,更舒适、更持久,价格与冷光美白相近,所以皓齿美白无疑更超值。

Q:严重的四环素牙可以做吗?

A:从负责的角度看,严重的四环素牙与氟斑牙不适合皓齿美白,可采用超薄全瓷贴面、全瓷牙冠等,实现牙色与牙体修复。

Q:皓齿美白要做几次?

A:一般色素牙,轻度的四环素牙、氟斑牙一次就够,特别严重,要按医生方案进行再次美白,具体情况建议预约在线客服。

Q:做了皓齿美白可以维持多久?

A:临床大多可维持3~5年,与皓齿的专利美白剂有关,比传统蓝光美白有效期更长。建议大家少喝咖啡浓茶,效果更持久~